Mammifères : vascularisation de la peau
       
  | 
     |
| 
       
         | 
      Les papilles dermiques abritent le réseau capillaire de surface issu du plexus artériel superficiel. | 
| 
       
         | 
      
       
        Les glomus neuro-vasculaires de Masson
       
       sont des
    anastomoses artério-veineuses caractéristiques des extrémités cutanées.
        Au niveau de la pulpe des doigts, ils sont particulièrement développés : le vaisseau glomique se reconnaît à son parcours tortueux, à sa lumière étroite, et à sa media formée de cellules pâles épithélioïdes.  | 
     
| 
       
         | 
      
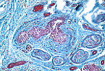
       La taille et le
    nombre des glomus varie selon la localisation et l'espèce animale.
        Dans le mamelon de jument, par exemple, ils sont très nombreux et petits; leurs cellules épithélioïdes cubiques, éosinophiles.  | 
     
| 
       
         | 
      Dans le groin de cochon, la taille de certains glomus peut être importante. La media transformée est souvent très épaisse. | 
| 
       
         | 
      
       De nombreux
       
        capillaires lymphatiques
       
       s'observent dans les couches
    superficielles de la peau. Ils y assurent un rôle de drainage important.
        Sur ce prélèvement d 'hypoderme de porc, sont visibles des adipocytes primaires mêlés à des adipocytes secondaires.  |