Capillaires lymphatiques

  • Structure de la paroi
    • Les capillaires lymphatiques présentent une structure voisine de celle des veinules mais s'en distinguent par plusieurs points :
      • leur origine en cul-de-sac,
      • leur calibre plus important et irrégulier, très aplati en forme de fente,
      • leur lumière occupée par de la lymphe (jamais de globules rouges en conditions normales),
      • leurs cellules endothéliales souvent non jointives, doublées d'une lame basale discontinue,
      • l'absence d'adventice structurée.
    • Comme les veinules, ils présentent des valvules limitant le reflux lymphatique. (La propulsion au sein de ce système lymphatique est purement passive et est assurée par le mouvement des masses musculaires).

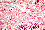
Le calibre des capillaires lymphatiques est très variable.
Sur coupe histologique, ils ressemblent à des fentes au sein du tissu conjonctif bordées par un endothélium.
De la lymphe éosinophile et des globules blancs s'observent souvent dans leur lumière.

Les noyaux des cellules endothéliales sont irrégulièrement espacés. Des valvules sont présentes.
L'absence de toute organisation conjonctive péri-endothéliale structurée permet de ne pas confondre sur coupe capillaires lymphatiques et veinules.

Autres images de capillaires lymphatiques

Capillaire lymphatique cutané
Capillaire lymphatique dans une glande mammaire
Capillaire lymphatique dans une trompe utérine
Capillaire lymphatique dans un espace porte hépatique