Tissus conjonctifs cellulaires
Tissus adipeux
-
Tissu réticulaire
-
Tissu
mésenchymateux
-
Tissu conjonctif
purement cellulaire
|
Les tissus adipeux
Deux variétés de tissus adipeux sont formées par l'association en lobules d' adipocytes . Ces cellules et la matrice extracellulaire qui les entoure forment un tissu qui stocke des lipides sous forme de triglycérides. Cantonné chez l'adulte humain dans quelques localisations (médiastin, loge rénale, boules de Bichat au niveau des joues...), le tissu adipeux primaire est plus abondant chez les nouveaux-nés des mammifères ainsi que chez les animaux qui hibernent. Ce tissu participe activement à la thermorégulation : la métabolisation des lipides qu'il renferme produit de la chaleur. A l'opposé, le tissu adipeux secondaire se trouve largement distribué dans tout le corps, particulièrement au niveau de l'hypoderme cutané et constitue une réserve de nutriments qui, par ailleurs, absorbent les chocs mécaniques et servent d'isolant thermique. Les deux tissus adipeux sont constitués par la juxtaposition d'adipocytes en lobules, séparés par des septa conjonctifs richement vascularisés |
|
| Illustration d'un lobule de tissu adipeux primaire (graisse brune) situé au niveau de l'hypoderme d'une patte de pigeon. Contenant de nombreuses inclusions lipidiques non confluentes (dissoutes lors des techniques d'inclusion des tissus dans la paraffine), les adipocytes primaires méritent l'appellation de "spongiocytes" et valent à ce tissu adipeux le qualificatif de "multiloculaire". Le noyau est généralement situé en position centrale. Chaque adipocyte est entouré d'une lame basale et d'un fin réseau de fibres réticuliniques. | |
| Illustration d'un lobule de tissu adipeux secondaire (graisse blanche) situé au niveau de l'hypoderme d'une peau humaine. Tassés les uns contre les autres au sein de ce lobule, les adipocytes secondaires montrent une forme polygonale. Leur cytoplasme est occupé par une énorme inclusion lipidique refoulant le noyau à la périphérie. Le tissu adipeux secondaire peut être qualifié d' "uniloculaire". Chaque adipocyte est entouré d'une lame basale et d'un fin réseau de fibres réticuliniques . | |
|
Tissu réticulaire
Formant l a trame d'organes lymphoïdes (comme la rate et les ganglions lymphatiques), le tissu réticulaire est constitué d'un double réseau : le réseau des cellules réticulaires est doublé par le réseau de fibres réticuliniques synthétisées par ces cellules. |
|
|
Petit
organe encapsulé en forme de haricot, un ganglion lymphatique se situe sur le trajet de
vaisseaux lymphatiques. Le ganglion filtre la lymphe qui le traverse et favorise
l'établissement des réactions immunitaires.
Schématiquement, dans un ganglion lymphatique observé à faible grossissement et coloré par l'HES, deux zones peuvent être repérées : riche en cellules lymphoïdes, la zone périphérique ou cortex apparaît très colorée (basophile), tandis que la zone centrale ou médullaire apparaît plus claire. |
|
|
Masquée
par les cellules lymphoïdes qui remplissent le cortex, la charpente faite de tissu
réticulaire n'est observable qu'au niveau de la médullaire, dans les espaces clairs de
forme irrégulière, les sinus médullaires, séparant des amas denses et colorés de
cellules, les cordons médullaires. Ces cordons médullaires contiennent surtout des
plasmocytes et leurs précurseurs; la lymphe circule dans les sinus médullaire.
Partant de la capsule et du hile, des travées de tissu conjonctif traversent la médullaire et supportent les vaisseaux sanguins du ganglion lymphatique. |
|
|
Le
cytoplasme des cellules réticulaires est basophile et héberge un noyau ovale, clair
montrant souvent un nucléole. De forme étoilée, chaque cellule réticulaire présente
des prolongements cellulaires qui entrent en contact avec ceux des cellules voisines,
créant ainsi un réseau cellulaire. Entre les mailles de ce réseau, circule la lymphe
dans laquelle des lymphocytes sont identifiables à leur noyau arrondi intensément
basophile occupant la majorité du cytoplasme.
Sur cette coupe colorée par l'HES, les fibres conjonctives d'un fragment de travée conjonctive apparaissent colorées en jaune par le safran. |
|
|
Coloration
par un trichrome bleu. Les cellules réticulaires agencées en réseau montrent une forme
étoilée, un cytoplasme basophile et un noyau ovale, clair avec souvent un nucléole.
Les fibres conjonctives des travées conjonctives sont colorées en bleu par le bleu d'aniline. |
|
| Une imprégnation argentique selon la technique de Wilder dévoile, en le colorant en noir, le réseau des fibres réticuliniques (fibres collagènes de type III) qui double le réseau des cellules réticulaires. | |
|
Tissu mésenchymateux
Tissu embryonnaire, le tissu mésenchymateux donne notamment naissance, en se différenciant, aux différents tissus conjonctifs ainsi qu'aux tissus musculaires. |
|
|
|
De forme irrégulière, chaque cellule mésenchymateuse montre un volumineux noyau ovale, clair et à nucléole bien visible. Agencées en un réseau cellulaire lâche, ces cellules synthétisent une matrice extracellulaire assez pauvre en fibres. |
|
Tissu
conjonctif purement cellulaire
Typique du cortex ovarien et du chorion de l'endomètre, le tissu conjonctif purement cellulaire est un tissu conjonctif malléable vu sa faible teneur en fibres conjonctives. |
|
|
|
Recouvrant le myomètre (ou musculeuse utérine), l'endomètre (ou muqueuse utérine) est la couche superficielle de la paroi de l'utérus. Cet endomètre est constitué par un épithélium simple cylindrique cilié qui s'invagine pour former les glandes endométriales sécrétant du mucus. Entre ces glandes endométriales, se trouve le chorion, un tissu conjonctif purement cellulaire. |
|
|
Cette vue illustre le chorion qui entoure une glande endométriale. Ce tissu conjonctif est particulièrement riche en fibroblastes, ne montrant que quelques fibres conjonctives. Malléable, ce tissu conjonctif purement cellulaire s'adapte aux modifications cycliques de la paroi utérine. |
|
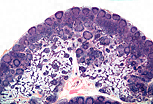
|
Zone périphérique de l'ovaire, le cortex ovarien formé d'un tissu conjonctif purement cellulaire abrite des formations arrondies, les follicules ovariens dont les dimensions varient au cours de leur développement et leur régression. |