Matrice extracellulaire des
tissus conjonctifs proprement dits
Fibres conjonctives
-
Substance fondamentale
-
Glycoprotéines de structure et
d'adhésion
|
Les fibres
conjonctives
Synthétisées par les fibroblastes et constituées de différentes protéines fibrillaires, les fibres conjonctives confèrent aux tissus conjonctifs dans lesquelles elles se trouvent leurs propriétés mécaniques. - Fibres de collagène de type I - Fibres de collagène de type III ou fibres réticuliniques - Fibres élastiques |
|
| Fibres de collagène I | |
|
|
Agencés
en faisceaux de fibres, le
collagène de type I
est le
principal collagène de la peau (et des os). Après réalisation d'une coloration
trichrome vert, il se colore en vert par le vert lumière (en bleu par le bleu d'aniline
dans une coloration trichrome bleu et en jaune-orange par le
safran dans une coloration HES).
Les fibres de collagène assurent des propriétés mécaniques en résistant aux forces d'étirement appliquées aux tissus conjonctifs. |
|
|
Une autre coloration trichromique met particulièrement en évidence les fibres de collagène : c'est la technique de Von Gieson dans laquelle le collagène de type I est coloré en rouge alors qu'au niveau des cellules, les cytoplasmes sont colorés en jaune et les noyaux en noir. |
|
|
En MET, après coloration négative, une fibre de collagène de type I montre une alternance de bandes claires et sombres. Cette striation s'explique par le décalage régulier des molécules de collagène dans les protofibrilles qui forment les fibres. |
| Fibres réticuliniques | |
|
|
Pour visualiser les fibres réticuliniques (ou fibres de collagène de
type III), une imprégnation argentique selon Wilder est réalisée. Ces fibres
réticuliniques apparaissent alors colorées en noir et sont dites
"argyrophiles".
Dans le parenchyme hépatique, ces fibres forment un réseau grillagé. |
|
|
On peut aussi observer des fibres réticuliniques, mises en évidence par l'imprégnation argentique de Wilder, dans le tissu réticulaire formant la trame d'un ganglion lymphatique. Ces fibres y constituent un réseau doublant le réseau de cellules réticulaires qui les synthétisent. |
|
|
Fibres réticuliniques mises en évidence par l'imprégnation argentique de Wilder au niveau de la jonction épidermo-dermique. |
|
|
Mise en évidence par l'imprégnation argentique de Wilder des fibres réticuliniques qui constituent le manchon pellucide emballant chaque cellule musculaire lisse. |
|
|
Mise en évidence par l'imprégnation argentique de Wilder du fin réseau de fibres réticuliniques qui entoure chaque adipocyte au sein du tissu adipeux . |
| Fibres élastiques | |
|
|
Constituées d'élastine et de fibrilline, les fibres élastiques sont
souvent dispersées dans la masse des fibres collagènes. L'orcéine colore
spécifiquement les fibres élastiques en brun. Des incidences longitudinales et
transversales de fibres élastiques peuvent ainsi être repérées dans le derme illustré
sur cette image. Une contre-coloration colore en jaune les fibres de collagène et en
mauve les noyaux.
Les fibres élastiques permettent aux tissus de reprendre leur forme initiale après un étirement passager. |
|
Une
lame élastique est constituée par un feuillet formé d'un feutrage ajouré de fibres
élastiques. Associés à des
cellules rameuses
, les lames
élastiques sont caractéristiques notamment des artères de gros calibre (artères
élastiques) comme l'aorte. Les lames élastiques sont ondulées et acidophiles (colorées
en rose par l'éosine...).
Elles permettent à ces artères élastiques de se déformer momentanément avec l'augmentation de la pression systolique. |
|
|
|
Mise en évidence des lames élastiques dans la paroi d'une aorte par une coloration à l'orcéine. |
|
Substance
fondamentale
Zone amorphe baignant les fibres et les cellules conjonctives, la substance fondamentale est constituée de glycosaminoglycanes (GAG) et de protéoglycanes. GAG et protéoglycanes forment un gel hydraté donnant aux tissus conjonctifs une turgescence qui leur permet de résister aux forces de compression (propriété de résilience). Cette structure en gel aqueux autorise, en outre, la diffusion efficace des nutriments, des métabolites et des déchets hydrosolubles ainsi que la migration des cellules étrangères au travers des tissus conjonctifs. Invisibles en coloration ordinaire, les GAG et protéoglycanes peuvent être mis en évidence par la coloration au PAS, particulièrement au niveau des lames basales où ils sont concentrés. |
|
|
|
La jonction épidermo-dermique, la lame basale séparant dans la peau l'épiderme du derme, est PAS positive. Elle apparaît sous forme d'une ligne de couleur fuchsia soulignant l'épithélium. Cette coloration par le PAS est due à la concentration au niveau des lames basales d'héparan sulfate, une variété de protéoglycanes. |
|
|
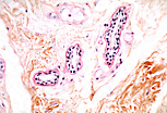
Toutes les lames basales sont PAS positives. A titre d'exemple : la lame basale sous l'endothélium des vaisseaux sanguins (sur cette image, des petits capillaires sanguins), et la lame basale entourant l'unité sécrétante d'une glande sudoripare eccrine. |
|
|
Autre exemple, la lame basale située autour d'un canal sudorifère ... (identifiable à son épithélium bicubique). |
|
Les
glycoprotéines de structure et d'adhésion
En plus des fibres conjonctives et de la substance fondamentale, la matrice extracellulaire contient des glycoprotéines non filamenteuses servant notamment d'intermédiaires dans l'adhésion cellulaire. En effet, ces glycoprotéines sont reconnues et liées par des récepteurs spécifiques de la famille des intégrines en surface des cellules épithéliales et des cellules conjonctives. Des marquages immunohistochimiques permettent d'analyser leur localisation. |
|
|
|
Après un marquage par un anticorps spécifique, la laminine est localisée au niveau de toutes les lames basales. Sur cette coupe de langue, sont repérables, sous forme de lignes noires, la lame basale qui sépare l'épithélium de surface du tissu conjonctif sous-jacent, les lames basales situées sous l'endothélium des vaisseaux sanguins et celles qui entourent les cellules musculaires. |