Moelle hématopoïétique in situ

Si, chez l'homme adulte, la moelle hématopoïétique ne s'observe principalement qu'en dehors des os longs; chez les enfants et de nombreux animaux, elle se rencontre en plus dans les diaphyses des os longs.
Dans cette extrémité proximale d'un fémur de chien âgé de deux mois, la moelle hématopoïétique se localise entre les trabécules osseux de la diaphyse.
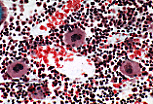
Les colonies de cellules en cours de maturation sont dispersées autour des trabécules osseux. Leur identification n'est pas possible sur ce prélèvement.
Les cellules différenciées (globules blancs, globules rouges, plaquettes) migrent dans les sinusoïdes sanguins et rejoignent ainsi le torrent circulatoire.
Seuls les mégacaryocytes (à l'origine des plaquettes sanguines) sont identifiables au sein de cette population cellulaire. Ce sont de grandes cellules à noyau unique plurilobulé.

(Autres images de mégacaryocytes au niveau de la rate d'un chien et d'une cavité diaphysaire d'un os long en formation .)