Mammifères : glandes sudoripares

  • Classification
    En se basant sur la morphologie, les glandes sudoripares peuvent être divisées en deux catégories :
    • les glandes sudoripares eccrines
    • les glandes sudoripares apocrines
  • Variations d'espèces
    • Chez l'homme
      • Les glandes sudoripares eccrines :
        • occupent pratiquement toute la surface corporelle,
        • sécrètent la sueur et sont impliquées dans la thermorégulation.
      • Les glandes sudoripares apocrines :
        • sont peu répandues et ne se rencontrent qu'à certains endroits bien précis comme le creux axillaire, le périné et la région péri-anale,
        • produisent une sécrétion visqueuse, dont le rôle précis est discuté (phéromones ?).
    • Chez les autres mammifères
      • Les glandes sudoripares eccrines sont réduites aux soles plantaires, mufles et groins
      • Les glandes sudoripares apocrines :
        • sont plus répandues,
        • sont toujours associées aux poils,
        • outre un rôle de thermorégulation, elles sécrètent des phéromones responsables du marquage territorial et de l'attraction sexuelle.
  • Observation
Glandes sudoripares eccrines
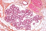
Les glandes sudoripares eccrines se localisent à la jonction dermo-hypodermique. Ce sont des glandes simples tubuleuses pelotonnées qui comportent une partie glandulaire (la portion sudoripare) et une portion excrétrice (le canal sudorifère).
La portion sudoripare est composée d'une assise de cellules cylindriques, claires, entourées de cellules myoépithéliales. Elles sécrètent un mélange d'eau et d'ions (sueur).
Le canal sudorifère est bordé par deux assises de cellules cubiques éosinophiles.
(Peau face palmaire humaine).
Le canal sudorifère traverse le derme en un trajet relativement rectiligne.
Au niveau de l'épiderme, il n'est plus bordé que d'une assise cellulaire et dans la couche cornée, il suit un trajet hélicoïdal. Le canal sudorifère d'une glande sudoripare eccrine s'abouche en surface de l'épiderme.
(Peau face palmaire humaine).
Chez les mammifères, toutes les peaux recouvrant des organes tactiles comme les groins et mufles possèdent des glandes sudoripares eccrines.
Cette image est tirée d'un groin de porc.
Autres images de glandes sudoripares eccrines Glandes sudoripares eccrines du versant cutané de la lèvre humaine
Glandes sudoripares apocrines
Morphologiquement différentes des glandes sudoripares eccrines par la lumière plus importante de leur partie glandulaire, les glandes sudoripares apocrines s'en distinguent aussi par le point d'abouchement de leur canal sudorifère qui s'ouvre au niveau du follicule pileux et non en surface de l'épiderme.
Une seule assise de cellules épithéliales s'observe dans la portion sudoripare d'une glande apocrine mais celles-ci, de tailles inégales, présentent des pôles apicaux qui semblent se détacher localement du reste du cytoplasme.
Facilitant l'excrétion des produits de sécrétion, des cellules myoépithéliales entourent les cellules glandulaires de la portion sudoripare apocrine comme eccrine.
Chez le porc, celles-ci occupent une position radiaire très caractéristique.
Autres images de glandes sudoripares apocrines Glandes sudoripares apocrines du trayon
Glandes sudoripares apocrines du passage ano-rectal
Les glandes de Moll de la paupière