Nerfs périphériques et ganglions nerveux parasympathiques
| Cette page rassemble des images de nerfs périphériques et de petits ganglions nerveux parasympathiques photographiées dans des préparations colorées par des colorations trichromiques classiques. | |
|
Nerfs périphériques
Les petits nerfs périphériques ne sont généralement constitués que d'un seul faisceau de fibres nerveuses entouré du périnèvre, tissu conjonctif lamellaire qui emballe le faisceau. Dans ce faisceau, les sections des fibres nerveuses sont chacune emballées par un mince tissu conjonctif, l'endonèvre. |
|
| Nerfs du derme cutané coloré par un trichrome vert, l'un en CT et l'autre en CL, délimités par le périnèvre. A l'intérieur de celui-ci, les fibres nerveuses sont emballées par l'endonèvre. L'incidence de coupe des fibres nerveuses coïncide avec celle du nerf. Les noyaux appartiennent aux cellules de Schwann longeant les cylindraxes ou éventuellement aux fibroblastes de l'endonèvre. | |
|
Un
nerf en CT, coloré par un trichrome bleu et observé dans une langue à proximité du
tissu musculaire strié squelettique.
Le périnèvre lamellaire, délimite le faisceau de fibres nerveuses, chacune emballée par l'endonèvre coloré en bleu par le bleu d'aniline. |
|
|
|
Observé dans une langue, un nerf en CL, coloré par un HES montre l'aspect ondulé typique des fibres nerveuses. |
|
|
Observés dans une langue, des CT de nerfs colorés par un HES montrent le périnèvre, lamellaire, qui délimite chacun d'eux. A l'intérieur, chaque fibre nerveuse est emballée individuellement par l'endonèvre. Sous forme d'anneau blanc, les gaines de myéline caractérisent ces nerfs. |
|
|
Observé en MET, ce nerf périphérique est constitué par un ensemble de fibres nerveuses schwanniennes emballé par le périnèvre représenté ici par une couche de fibroblastes dont seuls les prolongements cytoplasmiques sont visibles. Les différentes fibres nerveuses sont, chacune, entourées par des fibres collagènes coupées transversalement. Ces fibres collagènes appartiennent à l'endonèvre. |
|
Ganglions nerveux périphériques
Constitués par des amas de neurones ganglionnaires baignant dans un stroma conjonctif traversé de fibres nerveuses, les ganglions nerveux s'identifient précisément par la présence de ces cellules nerveuses. Nous illustrons ici des ganglions nerveux (parasympathiques) situés notamment dans les cloisons conjonctives des glandes salivaires, entre les deux couches de muscle lisse constituant la musculeuse des organes du tube digestif. |
|
|
|
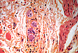
Ganglion
nerveux situé dans une cloison conjonctive d'une glande salivaire.
Comme tous les neurones, les cellules nerveuses ganglionnaires sont reconnaissables à leur volumineux noyau arrondi clair, à nucléoles bien visibles, ainsi qu'à leur abondant cytoplasme basophile (blocs de Nissl). Des cellules satellites ganglionnaires sont étroitement accolées à ces neurones. Dans un ganglion, les cellules nerveuses ganglionnaires sont mêlées à des fibres nerveuses, chacune, entourées d'endonèvre. Le ganglion est délimité en périphérie par du tissu conjonctif équivalent du périnèvre. |
|
|
Ganglion
nerveux de petite taille observé dans une préparation colorée par l'HES.
Il est identifié par l'association de fibres nerveuses à quelques cellules nerveuses ganglionnaires typiques. Les fibres collagènes de l'endonèvre, entourant les fibres nerveuses, sont colorées en jaune par le safran. |
|
|
Ganglion
nerveux, coloré par un trichrome bleu où les fibres collagènes sont colorées en bleu
par le bleu d'aniline.
Bordées par les cellules satellites ganglionnaires, cellules de la névroglie périphérique, les cellules nerveuses ganglionnaires montrent les caractéristiques typiques des neurones. |