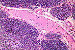
Vascularisation du thymus
|
Le thymus
est localisé sur la circulation sanguine.
La circulation thymique se caractérise par un réseau capillaire peu perméable (barrière hémato-thymique assurant l'indépendance antigénique) et par la présence de veinules post-capillaires particulières, dites épithélioïdes, siège de la migration des lymphocytes T matures. |
|
|
|
Le thymus ne possède
pas de hile et les branches artérielles thymiques cheminent le long des cloisons
inter-lobulaires avant de pénétrer dans le parenchyme.
Les veines leur sont parallèles. |
|
|
Les veinules post-capillaires épithélioïdes sont caractérisées par un endothélium formé de cellules cubiques entre lesquelles s'observera la migration des lymphocytes. C'est à ce niveau que ces derniers quittent le thymus pour gagner le torrent circulatoire. |