Les artères musculaires

  • Définition
    Les artères musculaires regroupent les artères de moyen calibre (diamètre de moins de 5 mm) et de petit calibre (moins de 2 mm).
  • Structure de la paroi
    Leurs parois contiennent trois tuniques :
    • l'intima constituée d'un endothélium soutenu par une lame basale et une limitante élastique interne
    • la media, un manchon compact de cellules musculaires lisses disposées concentriquement
    • l'adventice, tunique plus mince, contenant des fibres collagènes et élastiques parallèles à l'axe du vaisseau
  • Fonction
    Les artères musculaires assument les rôles de régulation de la distribution sanguine et de maintien de la pression artérielle (résistances périphériques).
En C.T., la lumière d'une artère est toujours ronde.
Le rapport "surface pariétale/surface totale" en C.T. est plus important que celui d'une artère élastique.
Les noyaux des cellules endothéliales apparaissent, sur coupe histologique, projetés dans la lumière et la limitante élastique interne, plicaturée : cet aspect artefactuel résulte de la contraction de la media lors de la fixation.
La media des artères ne contient que peu de fibres conjonctives au sein des cellules musculaires. Cet aspect compact de la media est le meilleur critère de distinction par rapport aux veines musculaires.
La nutrition de la partie externe d'une artère (2/3) est assurée par des petits vaisseaux sanguins : les vasa vasorum issus de l'adventice. Le tiers interne est nourri par diffusion depuis le sang circulant.
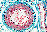
Ce fort grossissement illustre les principales caractéristiques d'une artère sur coupe histologique :
  - les noyaux des cellules endothéliales projetés dans la lumière,
  - la limitante élastique interne plicaturée,
  - le manchon musculaire compact de la media.
L'orcéine permet de repérer les zones riches en fibres élastiques dans la paroi artérielle, c'est-à-dire la limitante élastique interne et l'adventice.
Les fibres élastiques de la limitante élastique interne possèdent des propriétés de fluorescence spontanée lors d'un examen au microscope à fluorescence.