Le col utérin

  • Localisation
    Le col utérin est la partie inférieure rétrécie de l'utérus, en communication avec le vagin.
    Il subit comme le corps utérin, mais dans une moindre mesure, des modifications morphologiques caractéristiques de l'état hormonal.
  • Subdivisions
    • Il comporte deux régions :
      • l'endocol, canal allongé reliant la cavité utérine au vagin et dont la muqueuse est responsable de la production du mucus cervical,
      • l'exocol, surface externe du col faisant saillie dans le fond vaginal.
    • La jonction endo-exocol est médicalement parlant une zone importante à surveiller car elle est le site de nombreuses altérations pathologiques
Sur cette vue générale d'une lèvre cervicale examinée en C.L., se distinguent :
     - la muqueuse endocervicale,
     - la muqueuse exocervicale,
     - la musculeuse.
La muqueuse de l'endocol est caractérisée par de nombreux replis bordés d'un épithélium cylindrique simple décrivant des invaginations ramifiées sous forme de cryptes endocervicales.
Cet épithélium constitué de cellules muqueuses fermées et de quelques cellules ciliées élabore la glaire cervicale dans un contexte hormono-dépendant.
La transition entre l'endocol et l'exocol est brutale. L'épithélium cylindrique simple endocervical cède sa place à un épithélium épidermoïde exocervical.
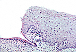
Cette vue détaille la jonction endo-exocol chez la femme.
L'épithélium épidermoïde exocervical comporte des cellules pâles car riches en glycogène. Son épaisseur est proportionnelle à l'imprégnation œstrogénique.
Les cellules de l'épidermoïde de l'exocol "maturent" de la base au sommet où elles desquament. On distingue :
     - des cellules basales foncées,
     - des cellules parabasales,
     - des cellules  intermédiaires qui commencent à s'aplatir,
     - des cellules superficielles,
     - des cellules superficielles pycnotiques.