Les surrénales
|
|
|
|
Cette glande surrénale prélevée à l'autopsie et sectionnée en deux révèle deux composantes distinctes macroscopiquement : la partie périphérique ou corticosurrénale , jaune (lipides) et la partie centrale, la médullosurrénale , grisâtre. |
|
|
Les catécholamines (adrénaline et noradrénaline) sécrétées par la médullosurrénale sont mises en évidence en brun après traitement par le bichromate de potassium. Seule la médullosurrénale est marquée par ce traitement. |
|
|
La corticosurrénale se subdivise en trois zones étagées concentriquement de la périphérie vers le centre : la zone glomérulaire , la zone fasciculaire et la zone réticulaire . |
|
Cortex surrénal ien ou corticosurrénale |
|
|
|
Le cortex est
constitué d'unités sécrétantes cordonnales disposées en arcades ou en crosses dans la
zone glomérulaire, en cordons parallèles dans la zone fasciculaire et en réseau dans la
zone réticulaire. Les cordons sont séparés les uns des autres par des
capillaires sinusoïdes
.
La composante conjonctive, comme dans toute glande endocrine, est réduite. |
|
|
Au niveau de la zone glomérulaire , les cellules endocrines sont relativement petites et leur cytoplasme, légèrement éosinophile, contient peu de vacuoles lipidiques. Elles sécrètent les minéralo-corticoïdes. |
|
|
La zone fasciculaire
, en continuité avec les cordons de la
glomérulaire, est la plus épaisse des trois zones corticales.
Les cellules de cette couche se disposent en cordons relativement parallèles entre eux et perpendiculaires à la surface de l'organe. Les capillaires sinusoïdes situés entre ces cordons affectent la même disposition radiaire. Parfois collabés, ils se distinguent par les noyaux allongés de leurs cellules endothéliales. |
|
|
Les cellules endocrines de la zone fasciculaire sont plus volumineuses et plus riches en enclaves lipidiques que celles de la zone glomérulaire, ce qui leur confère sur coupe histologique classique un aspect de spongiocyte. Elles produisent des glucocorticoïdes et des stéroïdes sexuels androgéniques. |
|
|
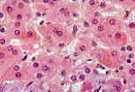
La zone réticulaire
, peu épaisse, est la plus profonde du
cortex.
A ce niveau, les cordons cellulaires perdent leur orientation parallèle et s'anastomosent en un réseau. Leurs cellules contiennent peu d'enclaves lipidiques mais sont riches en pigments de lipofuscine qui leur confèrent un aspect plus foncé. Elles sécrètent des glucocorticoïdes et des stéroïdes sexuels androgéniques. |
|
|
Cette image illustre les pigments de lipofuscine observables dans les cellules de la zone réticulaire. |
|
Médullaire ou médullosurrénale |
|
|
|
La limite entre
corticale et médullaire dans l'espèce humaine est très irrégulière. Des cordons de
cellules réticulaires peuvent se projeter dans la médullaire.
De nombreuses veines collectrices s'observent dans la médullaire. Leur paroi comporte des faisceaux longitudinaux de cellules musculaires lisses. Ces veines drainent tout le parenchyme médullaire mais reçoivent également le sang qui a irrigué le cortex et contenant les hormones corticosurrénales. |
|
|
Deux types cellulaires sont décrits parmi les cellules endocrines de la médullosurrénale : les cellules rhagiochromes à cytoplasme pâle relativement volumineuses et les cellules hyalochromes plus petites et plus foncées, équivalentes à des neurones post-ganglionnaires. |