Le passage ano-rectal

  • Localisation
    Le passage ano-rectal correspond à la partie terminale du tube digestif comprise entre l'extrémité du rectum et le revêtement cutané superficiel de l'anus.
  • Subdivisions
    Il se subdivise en trois parties : la zone de transition, la zone anale et la zone cutanée.
  • Fonction
    Il régule l'émission des fécès.
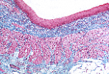
  • Observation
Vue d'ensemble
Sur ce passage ano-rectal de chat, il est possible de repérer les trois zones caractéristiques qui font suite au rectum à savoir la zone de transition, la zone anale et la zone cutanée.
On observe l'interruption de la musculaire muqueuse et l'épaississement de la couche musculaire interne de la musculeuse qui se prolonge en sphincter interne (muscle lisse). La couche externe de cette même musculeuse est remplacée par un sphincter externe constitué de muscles striés.
Zone de transition
Cette vue illustre le passage entre la zone rectale caractérisée par une muqueuse de type colique et la zone de transition où l'épithélium de surface se stratifie mais diffère d'un épidermoïde classique.
La musculaire muqueuse s'interrompt dans cette zone.
Zone anale
Dans la zone anale, la muqueuse est couverte par un véritable épithélium stratifié non kératinisé (épidermoïde).
Les muscles lisses observés sur ce prélèvement appartiennent au sphincter interne, épaississement de la couche interne de la musculeuse.
Zone cutanée
Dans la zone cutanée, l'épithélium épidermoïde se kératinise et se transforme progressivement en épiderme d'abord sans puis avec annexes.
La zone cutanée se caractérise à l'approche de la marge anale par un revêtement cutané typique , c'est-à-dire un épithélium kératinisé de type B avec des follicules pileux , des glandes sébacées et des glandes sudoripares apocrines .