Mammifères : reins

  • Fonction du rein
    Le rein a pour fonction essentielle l'ultrafiltration du sang. Celle-ci permettra l'élimination de certains produits métaboliques mais également, par des mécanismes de réabsorption et d'excrétion, de réaliser certains équilibres électrolytiques ainsi que la régulation du volume plasmatique.
    Le rein joue également un rôle important dans la régulation de la tension artérielle (système rénine - angiotensine), dans l'hématopoïèse (production d'EPO) et dans le métabolisme de la vitamine D.
  • Observation
Structure générale du parenchyme rénal
Cette coupe frontale d'un rein de lapin passant par le hile permet de distinguer deux zones dans le parenchyme rénal : une zone périphérique foncée appelée cortex et une zone centrale pâle dite médullaire, compartimentée en pyramides de Malpighi.
Un croissant constitué d'une pyramide de Malpighi et la substance corticale qui lui correspond constitue un lobe rénal.
Il existe chez les mammifères des reins unilobaires (chat), des reins faussement unilobaires (chien) et des reins multilobaires (porc, grands ruminants, homme).
Le néphron
Le néphron constitue l'unité rénale de base, tant morphologique que physiologique. Le corpuscule de Malpighi (portion vasculaire) en marque le début et réalise l'ultrafiltration sanguine. Les tubes qui lui font suite (portion urinaire) transportent l'urine primitive et sont responsables des mécanismes régulateurs de réabsorption et de sécrétion.

Le corpuscule de Malpighi
     - Définition
     - Observation en M.O .
     - Observation en M.E.B .
     - Observation en M.E.T.

Définition

Le corpuscule de Malpighi est formé d'une pelote capillaire (glomérule) entouré par une capsule, la capsule de Bowman. Celle-ci comprend un feuillet pariétal et un feuillet viscéral intimement accolé aux capillaires. Un espace, la chambre glomérulaire, sépare les deux feuillets.
De façon imagée, la pelote capillaire est enfoncée dans la capsule de Bowman comme le serait un poing dans un ballon.

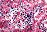
Observation en M.O.

La pelote capillaire constitue un réseau admirable de capillaires, car développé entre deux artérioles (afférente et efférente).
La zone de pénétration et de sortie des artérioles constitue le pôle vasculaire du glomérule. Aux colorations usuelles, il est impossible de distinguer l'artériole afférente de l'artériole efférente.
Dans ce rein de souris soumise à un régime sans sel  (activation du système rénine - angiotensine), les cellules granuleuses caractéristiques de l'artériole afférente sont hypertrophiées. Leurs grains de sécrétion contenant de la rénine sont mises en évidence par le bleu de toluidine.
Le P.A.S. marque la lame basale des capillaires de la touffe glomérulaire ainsi que celle du feuillet pariétal de la capsule de Bowman.
A l'opposé du pôle vasculaire (point de pénétration et de sortie des artérioles), le corpuscule de Malpighi possède un pôle urinaire où naît le tube contourné proximal, point de départ de la portion urinaire du néphron.
Les pôles vasculaires et urinaires ne se remarquent pas toujours au niveau des corpuscules de Malpighi observés sur une coupe histologique. Les sections passant par un plan équatorial ne permettent pas de les reconnaître.
Sur une coupe semi-fine (inclusion en résine acrylique), les trois populations cellulaires constitutives du corpuscule de Malpighi se discernent davantage que sur une coupe en paraffine.
On y reconnaît les podocytes (feuillet viscéral de la capsule), les cellules endothéliales des capillaires et les cellules mésangiales situées entre les capillaires. Quelques cellules sanguines occupent la lumière des capillaires.
Observation au M.E.B.
Les feuillets pariétal et viscéral sont séparés l'un de l'autre par la chambre glomérulaire. Au centre, se reconnaît la pelote capillaire (touffe glomérulaire) .
Dans cet autre glomérule observé au M.E.B., le feuillet pariétal de la capsule de Bowman a disparu.
Les podocytes du feuillet viscéral recouvrent la touffe glomérulaire dénudée.
Les podocytes comprennent un corps cellulaire d'où se détachent des prolongements ramifiés : les trabécules.  Ces dernières émettent perpendiculairement à leur grand axe, de fines expansions appelées pédicelles.
Les pédicelles d'un podocyte s'engrènent avec ceux des podocytes adjacents.
La fente épithéliale de filtration sépare les pédicelles interdigités.
Cette vue détaille les trabécules et pédicelles interdigités des podocytes séparés par les fentes épithéliales de filtration.
Sur ce prélèvement, se distinguent quelques capillaires dont la paroi éventrée laisse entrevoir l'endothélium qui tapisse leur lumière.
L'endothélium des capillaires glomérulaires est perforé de pores de taille constante et régulièrement disposés ( capillaires fenêtrés à pores régulièrement dispersés ).
Observation au M.E.T.
Sur cette micrographie, s'observent une cellule pavimenteuse du feuillet pariétal, la chambre glomérulaire ainsi que deux podocytes dont les pédicelles s'appliquent intimement sur les membranes basales de trois capillaires fenêtrés.
La filtration se réalise depuis les vaisseaux sanguins vers la chambre glomérulaire au travers de la membrane de filtration glomérulaire.
Cette vue permet d'illustrer les structures au travers desquelles se réalise la filtration glomérulaire, à savoir :
     - les pores endothéliaux,
     - la lame basale,
     - les fentes épithéliales entre les pédicelles des podocytes.
La membrane basale des capillaires glomérulaires est épaisse; elle est subdivisée en trois couches :
     - la lamina rara interna accolée à l' endothélium fenêtré ,
     - la lamina densa,
     - la lamina rara externa sur laquelle s'appliquent les pédicelles podocytaires.
Les fentes de filtration sont partiellement occupées par une membrane appelée la slit membrane ou membrane de la fente de filtration.
Cette autre micrographie électronique prise au M.E.T. montre une cellule mésangiale. Son cytoplasme s'applique directement sur l'endothélium du capillaire fenêtré sous-jacent.
Les tubes urinaire s
     - Définition -Fonction
     - Tube proximal -Tube distal
     - Segment ou anse grêle
     - Macula densa et appareil juxta-glomérulaire
     - Tube de Bellini
     - Canal papillaire
Définition - Fonction
L'ultrafiltrat glomérulaire quitte la chambre glomérulaire au pôle urinaire du glomérule; à ce niveau, il passe dans le tube urinaire où sa composition sera remaniée suite à des réabsorptions et sécrétions diverses.
Le tube urinaire peut être décomposé en trois segments morphologiquement différents : le segment proximal, le segment grêle et le segment distal.
Au niveau du pôle urinaire, s'observe une continuité entre l'épithélium pavimenteux du feuillet pariétal de la capsule de Bowman et l'épithélium cylindrique du tube proximal.
Tube proximal - Tube distal
Deux segments du tube urinaire sont ici illustrés en C.L. : un segment proximal et un segment distal.
Le segment proximal, directement issu du corpuscule de Malpighi, est caractérisé par une lumière étroite et un épithélium cylindrique simple constitué de cellules éosinophiles possédant au pôle apical une bordure en brosse qui augmente la surface d'échange et dont le pôle basal montre des striations  indiquant la présence de nombreux replis membranaires et de mitochondries, témoins d'échanges ioniques importants .
Le segment distal possède une lumière plus importante. Ses cellules cubiques, nettement moins éosinophiles que celles du segment proximal voisin, ne possèdent pas de différenciation apicale en bordure en brosse. Leurs limites latérales sont peu distinctes mais elles possèdent également des replis membranaires basaux. Ceux-ci sont cependant moins marqués.
Un segment proximal et un distal sont représentés ici en C.T..
Ce P.A.S. met en évidence :
     - les lames basales qui entourent les tubes urinaires,
     - les bordures en brosse des segments proximaux.
La bordure en brosse des segments proximaux est riche en phosphatases alcalines.
Paroi d'un segment proximal observée au M.E.B..
La bordure en brosse est constituée de microvillosités.
Le pôle basal est constitué de plis qui s'interdigitent avec ceux des cellules voisines.
Les cellules épithéliales reposent sur une lame basale homogène.
Segment ou anse grêle
Le segment grêle appelé aussi anse grêle est la portion du tube urinaire qui réalise la jonction entre le segment proximal et le segment distal.
Sa paroi est constituée d'un épithélium aplati proche de celui des capillaires sanguins qui l'entourent. La présence de globules permet de discerner ces derniers des segments grêles.
Macula densa et appareil juxta-glomérulaire
Le segment distal du tube urinaire revient après avoir décrit un long parcours au sein du parenchyme rénal, au niveau de son corpuscule d'origine. Il s' applique contre le pôle vasculaire, dans la fourche constituée par les artérioles afférente et efférente.
La portion de segment distal accolée au glomérule est dénommée macula densa. Elle est caractérisée par une accentuation de la taille des cellules en regard du pôle vasculaire.
Ces cellules de la macula constituent avec les cellules du lacis et les cellules granuleuses de l'artériole afférente, l'appareil juxta-glomérulaire. Ce complexe régule le système rénine-angiotensine.

Tube de Bellini

Le tube de Bellini résulte de la réunion de plusieurs segments distaux. Il collecte l'urine de plusieurs néphrons.
Situé dans la médullaire, il présente un épithélium constitué de cellules cubiques aux limites cellulaires nettes, au pôle apical souvent légèrement bombé et au cytoplasme clair.
Cette section transverse d'un tube de Bellini montre le halo clair périnucléaire (accumulation glycogénique intracytoplasmique).
Canal papillaire
L'union de plusieurs tubes de Bellini forme le canal papillaire bordé de cellules cylindriques, étroites et à cytoplasme pâle.
Les canaux papillaires s'ouvrent dans le calice au niveau du sommet de la pyramide de Malpighi (papille).
Le pore urinaire est l'orifice du canal papillaire.
A ce niveau, l'épithélium cylindrique simple des canaux se poursuit sur le versant papillaire du calice. Il y prend progressivement un aspect pseudostratifié urothélial.