Populations cellulaires du ganglion lymphatique

Populations cellulaires des follicules lymphoïdes

Les follicules lymphoïdes de la zone corticale sont le siège de la réaction immunitaire B.
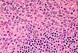
S'y reconnaissent en morphologie conventionnelle : les centroblastes , les centrocytes , les cellules folliculaires dendritiques , les macrophages , les petits lymphocytes .
Les cellules folliculaires dendritiques se reconnaissent à leur grand noyau clair et ovoïde, marqué d'un petit nucléole. Elles sont souvent groupées par deux.
Les centroblastes se reconnaissent à leur grand noyau rond à chromatine claire, renforcée par quelques nucléoles excentrés, souvent proches de la membrane nucléaire.

Les centrocytes montrent un noyau plus petit, clivé et à chromatine plus dense.

Le manteau comporte des lymphocytes de petite taille, presque semblables à ceux observés dans le sang.
Les macrophages sont reconnaissables à leur volumineux cytoplasme clair et mal délimité occupé par de nombreux débris cellulaires phagocytés (corps tingibles de Flemming).

Les macrophages ont été mis en évidence par un anticorps anti CD 68 couplé à la peroxydase.

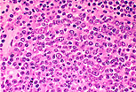
Populations cellulaires de la zone paracorticale
La zone paracorticale est une aire comportant une population lymphoïde essentiellement de type T.
Des cellules présentatrices d'antigènes, appelées cellules réticulaires interdigitées, sont reconnaissables à leur grand noyau clair et tourmenté.
La zone paracorticale est par ailleurs riche en veinules post-capillaires épithélioïdes .
Populations cellulaires associées à la trame ganglionnaire
De nombreux macrophages se rencontrent dans la trame réticulaire. Ils y exercent une fonction de phagocytose (immunité non spécifique).

Dans ce ganglion anthracosique de mineur, les macrophages sont emplis de particules de charbon.

Les fibres réticuliniques de la trame ganglionnaire sont produites par des cellules conjonctives étoilées appelées cellules réticulaires fibroblastiques.
Celles-ci sont particulièrement visibles dans la médullaire, zone peu chargée en éléments lymphoïdes.
Populations cellulaires des cordons médullaires
Les cordons médullaires regroupent des plasmocytes et leurs précurseurs, des lymphocytes T, des macrophages.

Ils sont bordés par des cellules endothéliformes, appelées cellules littorales , circonscrivant les sinus à l'intérieur desquels la lymphe circule.