Structure générale de la bourse de Fabricius
|
|
| Identification | |
|
|
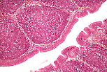
La bourse de
Fabricius se présente comme un sac traversé de plusieurs replis pariétaux séparés les
uns des autres par de profondes fentes.
Ces replis résultent d'excroissances de la muqueuse intestinale. Ils reposent sur une musculeuse (deux assises de cellules musculaires lisses) et une séreuse. |
|
|
La muqueuse des replis de la bourse est en continuité avec celle de l'intestin terminal (proctodeum) et est caractérisée par la présence de formations lymphoïdes géométriques : les follicules lympho-épithéliaux. |
| Follicules lympho-épithéliaux | |
|
|
Ces follicules
lympho-épithéliaux sont localisés dans le chorion de la muqueuse, sous
l'épithélium de surface.
Ils sont séparés les uns des autres par de fines cloisons conjonctives. |
|
|
Ce grossissement plus
important permet de mieux détailler la muqueuse d'un repli.
- L' épithélium de surface est de type pseudostratifié. - Chaque follicule lymphoïde présente une médullaire pâle et une corticale foncée. |
|
|
La médullaire est
séparée de la corticale par une membrane basale en continuité avec celle de
l'épithélium de surface.
C'est dans la médullaire que les précurseurs des lymphocytes B subissent un écolage comparable à celui des lymphocytes T dans le thymus. La médullaire est avasculaire. |
|
|
Au dôme de la
médullaire, l'épithélium de surface forme une touffe épithéliale constituée de
cellules cylindriques à alignement irrégulier.
De nombreux macrophages sont reconnaissables tant dans la médullaire que dans le cortex. Ce dernier, vascularisé, contient de nombreux lymphocytes en fin de maturation et des plasmocytes. |