Capillaires sanguins continus

  • Structure de la paroi
    • Le capillaire continu est un vaisseau tubulaire à calibre régulier, dont le diamètre oscille entre 5 et 10 µm (rappel : un globule rouge a un diamètre de 7 µm).
    • Sa paroi est constituée d'une assise de cellules endothéliales jointives.
    • Une lame basale continue entoure l'endothélium. Par endroit, cette lame basale se dédouble pour inclure des péricytes.
  • Observation de capillaires continus
Observation en M.O.

Coupes transversales

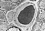
En C.T., le diamètre des capillaires sanguins continus est comparable à celui d'un noyau d'une cellule musculaire striée squelettique (5 à 9 µm). Leur paroi est constituée d'une ou deux cellules endothéliales enroulées sur elles-mêmes.
Lorsque le plan de section passe en dehors du noyau de la cellule endothéliale, seul un anneau cytoplasmique éosinophile s'observe.
Si le noyau est dans le plan de la coupe, il apparaît incurvé selon la courbure du capillaire.
Le noyau de la cellule endothéliale peut parfois faire hernie dans la lumière du capillaire.
On devine la présence d'une lame basale autour de l'endothélium. Mais cette coloration trichromique et ce grossissement ne permettent pas de la distinguer nettement.
Les plus gros capillaires sanguins peuvent montrer en C.T. deux noyaux de cellules endothéliales. Au delà de ce nombre, on considère arbitrairement que le vaisseau est une veinule.
Des cellules périvasculaires, appelées péricytes, s'observent parfois enclavées dans la lame basale péri-endothéliale.
Leur noyau triangulaire fait saillie sur le versant exoluminal et semble coiffer  le capillaire.
Coupes longitudinales
Dans ce tissu musculaire strié squelettique, les capillaires apparaissent en coupe longitudinale.
Leur calibre est régulier et étroit, de la taille d'un globule rouge.
Cette C.L. d'un capillaire illustre la forme aplatie des cellules endothéliales et leur étirement dans le sens du courant circulatoire.

Observation en M.E.T.
La M.E. permet de détailler la structure des capillaires.

Coupes transversales

Cette section transversale passant en dehors du noyau de la cellule endothéliale montre la membrane basale, le cytoplasme de la cellule endothéliale et un globule rouge occupant toute la lumière.
Cette incidence un peu plus tangentielle permet de détailler le cytoplasme de la cellule endothéliale et d'y observer de nombreuses vésicules de transcytose.
Cette autre coupe est réalisée au niveau du noyau de la cellule endothéliale. Celui-ci épouse la courbure du capillaire.
La lumière du capillaire est occupée par des protéines plasmatiques qui ont précipité lors de la fixation.
Le péricyte est une cellule accolée au versant exoluminal de l'endothélium dans un dédoublement de la lame basale.
Cette C.T. montre le noyau  incurvé de la cellule endothéliale, le cytoplasme endothélial empli de vésicules de transcytose, la jonction des bords libres de la cellule endothéliale, la membrane basale et dans un dédoublement de celle-ci, un fragment de cytoplasme de péricyte.
Cet agrandissement détaille la jonction cellulaire de type tight, les vésicules de transcytose.
Ces vésicules témoignent d'un transport transcellulaire important au sein des cellules endothéliales.
Le pli marginal, évagination cellulaire souvent située au niveau de la jonction, jouerait un rôle hydrodynamique.

Coupe longitudinale

Les noyaux des cellules endothéliales sont toujours allongés dans le sens du courant, ce qui apparaît particulièrement dans cette incidence longitudinale.