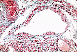
Collecteurs lymphatiques

  • Définition
    Les collecteurs lymphatiques résultent de la confluence des capillaires lymphatiques.
  • Structure de la paroi
    Leur paroi comprend trois tuniques mal délimitées.
    • L'interne, souvent soulevée par des valvules, est réduite à un endothélium soutenu par une membrane basale.
    • La moyenne est une couche conjontivo (+++) - musculaire (+) où les cellules musculaires lisses sont disposées en colonnettes obliques ou longitudinales.
    • L'externe, assez mince, contient quelques faisceaux collagènes et élastiques peu structurés.
Les trois tuniques caractéristiques de la paroi de ce collecteur sont mal délimitées.
Les cellules musculaires lisses sont organisées en colonnettes dans la tunique moyenne qui ne forme donc pas de manchon continu. Ce critère permet de distinguer les collecteurs lymphatiques des vaisseaux sanguins, artères musculaires et veines musculaires.
Les valvules sont formées de replis de toute la tunique interne (comme dans le système veineux).
Les faisceaux musculaires  se disposent obliquement au niveau de la tunique moyenne.
Les gros collecteurs lymphatiques, parfois appelés troncs lymphatiques, montrent une tunique moyenne plus riche en cellules musculaires lisses. L'orientation de celles-ci ne décrit jamais une circonférence complète.