Poissons : "glande" interrénale et cellules chromaffines (guppy)

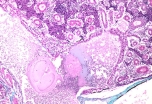
Cette vue permet de repérer la zone antérieure du rein de guppy contenant la glande interrénale et les cellules chromaffines qui entourent les parois de la veine rénale.
Les petites cellules cubiques de la glande interrénale sont, chez le guppy, mélangées aux cellules chromaffines de taille plus importante et au cytoplasme à plages claires.
La coloration trichrome vert ne permet pas de les distinguer nettement.