L'intestin des
poissons est relativement court. Par homologie avec les mammifères, on y
distingue un duodénum ou intestin antérieur (zone où s'ouvrent les
canaux cholédoque et pancréatiques), un intestin moyen et un intestin
postérieur terminé par un court rectum s'ouvrant soit dans un cloaque,
soit directement sur l'extérieur.
|
|
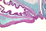
La
muqueuse de l'intestin du poisson rouge (carassius) présente de nombreux replis ou
villosités, en forme de feuillets imbriqués les uns dans les autres.
(Prélèvement fixé au Bouin).
|
|
Les
villosités sont de taille importante au niveau de l'intestin antérieur
(photographié ici en CT chez le poisson rouge). Il n'existe pas de glande de
Lieberkühn ni de musculaire muqueuse.
Un stratum compactum sépare le chorion de la musculaire propre constituée de deux assises de cellules musculaires lisses.
|
|
L'épithélium
intestinal des poissons est semblable à celui des mammifères. Souvent
monostratifié, il comporte des entérocytes et des cellules caliciformes
(truite).
|
|
L'épithélium
intestinal de poisson peut présenter un aspect pseudostratifié,
particulièrement à la base des villosités.
De nombreux lymphocytes se reconnaissent tant dans l'épithélium même
que dans le chorion sous-jacent (poisson rouge - HES).
|
|
Le
chorion de la muqueuse intestinale de poisson est richement vascularisé.
Le stratum compactum est une zone dense en collagène située sous le
chorion. Il est particulièrement développé chez les poissons
carnivores (truite - HES).
|
|
Le
guppy, poisson détritiphage, ne possède pas de stratum compactum.
|
|
Les
"cæca" pyloriques sont des diverticules aveugles de la partie
antérieure de l'intestin, caractérisés par la présence de très longues
villosités.
Ils sont particulièrement développés chez la truite (poisson
carnivore).
|
|
Au
niveau de l'intestin moyen, la taille des villosités diminue (poisson
rouge).
|
|
Cette
coupe longitudinale de l'intestin postérieur de guppy permet de
visualiser l'effacement progressif des villosités à l'approche du
rectum.
|
|
L'intestin
postérieur du poisson perd ses cellules caliciformes et entérocytes au
profit de cellules muqueuses fermées.
Une valve (iléo-rectale) sépare l'intestin postérieur du rectum
proprement dit.
|
|
L'épithélium
de la muqueuse de la partie rectale proprement dite est formé d'une assise
de cellules muqueuses fermées.
Un sphincter de muscles lisses (issu de la couche musculaire interne de la
musculaire) s'y observe.
Après une courte zone de transition, l'épithélium de l'extrémité du
tube digestif devient de type tégumentaire (zone anale).
|