|
|
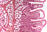
| Iléon | |
|
|
Les
tuniques fondamentales du tube digestif se retrouvent au niveau de cet iléon humain à
savoir la muqueuse, la sous-muqueuse, la musculaire propre et la séreuse.
Les replis de la muqueuse (valvules conniventes) et les villosités sont des dispositifs d'amplification de la surface d'absorption. |
|
|
La muqueuse de l'iléon est caractérisée par des villosités qui font protrusion dans la lumière. Des glandes tubulaires, les glandes de Lieberkühn, s'étendent de la base des villosités jusqu'à la musculaire muqueuse. Le chorion est riche en éléments lymphoïdes. |
| Villosités iléales | |
|
|
La forme
des villosités iléales varie d'une espèce animale à l'autre, en fonction du régime
alimentaire.
Chez l'homme et les carnivores, elles sont digitiformes. Cette image est tirée d'un iléon de jeune rat en régime lacté. |
|
|
Chez le rat adulte, dont le régime est à base de fibres, les villosités deviennent plus épaisses, trapues, en forme de feuilles. |
|
|
Chaque
villosité est constituée d'un axe conjonctif tapissé par un épithélium cylindrique
simple au sein duquel 3 types cellulaires se distinguent : les entérocytes (cellules à
plateau strié responsables de l'absorption), les cellules caliciformes (sécrétrices de
mucus) et les cellules du système endocrinien diffus.
Des lymphocytes infiltrent cet épithélium. On les retrouve notamment juste au-dessus de la lame basale, intercalés entre les pôles basaux des cellules épithéliales. |
|
|
Les
entérocytes sont des cellules cylindriques présentant à leur pôle apical un plateau
strié constitué de microvillosités.
En M.O., ce plateau strié apparaît comme un ruban rosé apical. Le terminal web, zone d'ancrage des microvillosités, est reconnaissable sur cette image. |
|
|
Les
microvillosités du plateau strié ne se discernent nettement qu'au M.E..
Elles augmentent de 20 à 50 fois la surface d'absorption de chaque entérocyte. |
|
|
Les microvillosités sont des expansions cellulaires digitiformes limitées par la membrane plasmique et dans l'axe desquelles se développe un cytosquelette constitué de filaments d'actine. Ces derniers s'ancrent dans une région particulière du cytoplasme apical de l'entérocyte, le terminal web, zone où se concentre un réseau dense de spectrine et de filaments intermédiaires. |
|
|
Sur
cette C.T. de microvillosités intestinales, se repèrent la membrane plasmique et les
filaments d'actine.
Le liseré flou qui entoure chaque microvillosité est le glycocalyx ou cell coat, particulièrement développé dans l'intestin. Il abrite de nombreuses enzymes digestives. |
|
|
Le
glycocalyx peut être visualisé en M.O. par la coloration histochimique de P.A.S..
Le P.A.S. met également en évidence le cytoplasme des cellules caliciformes chargées de mucus qui assure la lubrification de la paroi intestinale. La lame basale est aussi mise en évidence par le P.A.S.. |
|
|
Avec un trichrome bleu, les cellules caliciformes apparaissent optiquement vides car cette coloration ne met pas en évidence le mucus. |
|
|
Le mucus est élaboré dans la cellule caliciforme au niveau de son appareil de synthèse (RER - Golgi) et s'accumule dans son pôle apical sous forme de structures sphériques denses aux électrons. |
|
|
Excrété par mérocrinie dans la lumière de l'organe, le mucus s'écoule en surface de l'épithélium. |
|
|
Le mucus sécrété par une cellule caliciforme peut être observé au M.E.B. |
|
|
Entérocytes et cellules caliciformes sont intimement solidarisés à leurs pôles apicaux par des cadres obturants. |
|
|
Lorsque l'épithélium est coupé tangentiellement au pôle apical, les cadres obturants se repèrent facilement car ils deviennent observables sur tout le pourtour des cellules. Ils montrent alors un aspect caractéristique en nid d'abeilles. |
|
|
Un cadre obturant correspond à un complexe de jonctions constitué successivement d'une jonction étanche ou tight, suivie d'une zonula aedherens puis d'un desmosome auquel s'ajoute parfois une gap junction. |
|
|
Les
glandes de Lieberkühn qui s'ouvrent à la base des villosités sont des glandes
tubuleuses droites, à lumière étroite et dont l'épithélium comporte quatre variétés
cellulaires : des cellules caliciformes (plus nombreuses que sur la villosité), quelques
entérocytes,
des cellules du système endocrinien
diffus
et des cellules de Paneth.
Localisées dans le fond des glandes, ces dernières se caractérisent par des grains de sécrétion éosinophiles accumulés avant exocytose dans leur pôle apical. Leur rôle précis est encore discuté. On leur attribue entre autres un rôle anti-microbien (sécrétion de lyzosyme). |
|
|
Certaines espèces animales sont dépourvues de cellules de Paneth : c'est le cas chez les carnivores comme le chat illustré ici . |
|
|
De nombreuses mitoses s'observent dans les glandes de Lieberkühn, principalement dans leur tiers inférieur. C'est de cette zone germinative que sont issues les cellules tapissant à la fois les glandes de Lieberkühn et les villosités. |
|
|
Le
renouvellement de la population épithéliale de l'intestin grêle est très rapide (2 à
3 jours).
Les cellules issues de la zone germinative migrent jusqu'au sommet des villosités où elles meurent et desquament. |
|
|
Le
chorion de l'intestin grêle est caractérisé par sa richesse en cellules lymphocytaires
et par son abondante vascularisation sanguine et lymphatique.
Les capillaires sanguins sont de type
fenêtré
.
C'est à ce niveau que les glucides et protéines absorbés par les entérocytes passent dans la circulation sanguine, tandis que les lipides sont drainés par un capillaire lymphatique à extrémité borgne appelé le chylifère central. |
|
|
La
complexité du
réseau
vasculaire
du chorion villositaire ressort sur cette préparation observée au M.E.B..
Cette image a été obtenue par injection de résine qui va produire un moulage des vaisseaux sanguins. |
|
|
L'axe de la villosité est également parcouru par un mince faisceau de cellules musculaires lisses issu de la musculaire muqueuse : le muscle de Brücke. |
|
|
Cette image artefactuelle de décollement de l'axe conjonctif peut s'observer lorsque le délai entre le prélèvement et la fixation est trop long. |
| Duodénum | |
|
|
Le duodénum, première portion de l'intestin grêle, se distingue chez l'homme par la présence de villosités courtes, trapues et foliacées ainsi que par la présence de glandes tubulo-alvéolaires muqueuses et sous-muqueuses ramifiées, appelées glandes de Brunner. |
|
|
Ces glandes constituées de cellules muqueuses fermées s'ouvrent au fond des glandes de Lieberkühn et déversent dans la lumière un mucus alcalin destiné à protéger la paroi duodénale de l'acidité du contenu gastrique. |
| Intestin grêle et M.A.L.T. | |
|
Plaques de Peyer |
|
|
|
Au niveau des plaques de Peyer, situées dans la partie terminale de l'intestin grêle, près de la jonction iléo-cæcale, les follicules lymphoïdes sont particulièrement nombreux. Ils envahissent muqueuse et sous-muqueuse et déforment les villosités. Ces dernières ne sont préservées que sur les côtés des plaques. |
| Formations lymphoïde s | |
|
|
La paroi de l'intestin grêle est souvent envahie de formations lymphoïdes soit diffuses soit organisées en véritables follicules avec centre germinatif, manteau et zone marginale bien distincts. Ces structures appartiennent au M.A.L.T . |
|
|
Les follicules lymphoïdes sont particulièrement nombreux dans le tube digestif du porc. |